CD Home Page
Surgery Images
Case List History Objectives Radiology Images Questions
SURGICAL ENDOCRINOLOGY  Case #4 - A 60 year old with hypercalcemia    No previous image Go to next image
S
Image #1 (#1 of 7 found)
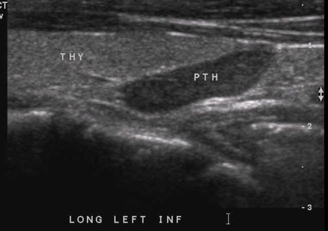
Ultrasound showing parathyroid adenoma
FMP-IF: note3]
  The Virtual Patient > Case List > SURGICAL ENDOCRINOLOGY - Case #4: Radiology Images