Page 101
|
 |
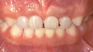
| This prosthetic appliance is discussed earlier in the chapter and in the restorative chapter, so let's go ahead and review how it is completed. After the impression, it is important to remind the laboratory to leave some spaces between the anterior primary teeth if the patient presents with that appearance, as was done with this patient.
Of course, children frequently exhibit a good deal of spacing in the primary anterior dentition.
|
|