CD Home Page
Surgery Images
Case List History Objectives Radiology Images Questions
TRAUMA Case #2 - An 80 year old with confusion after an M...    Go to previous image No previous image
S
Image #4 (#4 of 4 found)
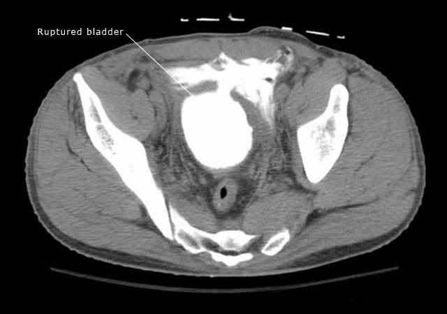
CT cystogram
FMP-IF: note3]
  The Virtual Patient > Case List > TRAUMA - Case #2: Radiology Images