Contributed by: Steven J. Rockoff, MD and Diana L. Lam, MD – June 1, 2020
Question 1
A 46-year-old woman presents with a tender and palpable left breast abnormality. A diagnostic mammogram is performed:


What kind of breast implants does the patient have?
A. Prepectoral saline implants
B. Retropectoral saline implants
C. Prepectoral silicone implants
D. Retropectoral silicone implants
Answer
B. Retropectoral saline implants
Explanation: These implants are filled with saline. Note the “see through” density of the saline, compared to the extremely dense silicone implant that was demonstrated in a previous case. We can also see the implant valves and mild rippling of the external implant contour, which are features typically associated with saline implants.
On the MLO images, we can see the pectoralis major wrapping around the anterior portion of the implant, which indicates that they are retropectoral implants (also known as “subpectoral”).
Question 2
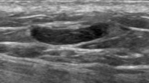
The spot magnification mammogram view and targeted ultrasound images that were performed at the site of palpable abnormality are shown here.





What is your diagnosis?
A. Abscess
B. Superficial venous thrombophlebitis
C. Phlegmon
D. Filariasis
Answer
B. Superficial venous thrombophlebitis (Mondor’s disease of the breast)
Explanation: Thrombophlebitis presenting as a partial or total thrombosis of a superficial vein in the breast is colloquially known as Mondor’s disease. Patients present with a cord-like palpable mass, often with local tenderness and skin erythema. Although the process is most commonly idiopathic, it can also be due to trauma or iatrogenic causes, or rarely, local breast cancer. Unless there is an identifiable ongoing cause, the condition is usually benign and self-limiting, and should be treated supportively with warm compresses and anti-inflammatory medication.
On our mammogram and ultrasound images, we can see the dilated and tortuous affected vessel. Although the vessel is abnormally hypoechoic under ultrasound due to the presence of thrombus, the presence of some color Doppler flow within the vessel indicates partial patency of the lumen.
There is no evidence of abscess or phlegmon. Filariasis is the most common parasitic infection of the breast, which presents with a lump or swelling, and serpiginous calcifications seen on mammography (this is rare in the United States).